Kütahyada Doktorların Tedavi̇ Başarısı
Kütahya’da ilk kez bir hastanın kalbindeki delik, kapalı yöntemle ve ameliyata gerek kalmadan kapatıldı.
23 yaşındaki Aslı Şahin, bir süre önce nefes darlığı şikayetiyle Kütahya Evliya Çelebi Eğitim ve Araştırma Hastanesine başvurdu. Yapılan tetkiklerde Şahin’in kalbinde delik olduğunu tespit edildi. Bunun üzerine Yetişkin Kardiyolojisi Kliniği’nden Prof. Dr. Mehmet Ali Astarcıoğlu, Doç. Dr. Taner Şen, Çocuk Kardiyolojisi Kliniği’nden Doç. Dr. Rahmi Özdemir, İzmir’den destek amaçlı gelen Prof. Dr. Nazmi Narin ve Dr. Kaan Yıldız ile birlikte ekip çalışması gerçekleştirdi. Ameliyatsız ve kapalı yöntemle yapılan operasyonda Aslı Şahin’in kalbindeki delik başarıyla kapatıldı.
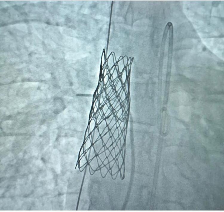
Kardiyoloji Kliniği Sorumlusu Prof. Dr. Mehmet Ali Astarcıoğlu, “Kütahya’da ilk başarılı sinüs venosus tipi atriyal septal defekt kapatma işlemi yapıldı. Ekip olarak, 23 yaşındaki genç hasta Aslı Şahin’e başarılı bir işlem gerçekleştirerek hastanemizde ilkleri yaşamaya devam ediyoruz. ’ASD lokalizasyonuna göre sekundum, primum, sinüs venosus ve koroner sinüs tip olmak üzere dört farklı şekilde görülebilir. Bunlardan sekundum tip ASD dışında diğerlerinin tedavisi açık kalp cerrahisidir. Sinüs venosus tipi ASD, tüm ASD lerin yüzde 5-10’unu oluşturur. Sağ kalbe gelen büyük toplardamarlar ile sol kulakçığı ayıran atriyum dokusunun gelişim bozukluğu sonucu oluşur. Sinüs venosus atriyal septal defektlerin görüntülenmesi ve tedavisinde son birkaç yılda önemli bir paradigma değişikliği oldu. Bu gelişmelerin sonucu olarak kapalı stentler artık bu defektlerin perkütan (Ameliyatsız) olarak kapatılmasına imkan sağladı” diye konuştu.
Çocuk Kardiyoloji Uzmanı Doç. Dr. Rahmi Özdemir, hastanın sağlığına kavuşmasının kendilerini sevindirdiğini kaydetti.
Aslı Şahin de kendisini sağlığına kavuşturan doktorlara ve hastane personeline teşekkür etti. Şahin, birkaç gün gözetim altında tutulup, kontrolleri yapılarak hastaneden taburcu edildi.
Kütahya İl Sağlık Müdürü Dr. Eser Şenkul, hasta Aslı Şahin ile ailesine ’Geçmiş olsun’ dileklerini ileterek, Hastane Başhekimi Doktor Öğretim Üyesi Sertaş Erarslan’a ve işlemi gerçekleştiren ekibe teşekkür ederek başarılar diledi.




















